man trying on veneers

Veneers

Is your smile affected by cosmetic imperfections like chips, stains, or minor misalignment?  At Pioneer Hills Dental in Aurora, CO , Dr. Terrance Wolbaum uses veneers to hide imperfections and enhance the smiles of his patients. Could veneers be the cosmetic solution you've been looking for?

Transform Your Smile Today!

If you are unhappy with chipped, stained, or misaligned teeth, you can do something about it. Request an appointment at our Aurora dental office and get started on your porcelain veneers. You can reach our office online , or by calling:

(303) 766-8811

What Are Dental Veneers?

A dental veneer is a thin shell we attach to the front of your tooth to conceal various cosmetic imperfections. Our Aurora practice crafts veneers out of high-quality materials like porcelain and IPS e.max® that are virtually indistinguishable from tooth enamel. Once they are secured they will blend in seamlessly with surrounding teeth, giving you a smile that is both stunning and natural-looking.

See What Keeps Our Patients Coming Back "Honest practices, genuine care, and commitment to each person."

1

Amy

2022

Google logo

I have been going to Pioneer Hills for years and have never had a negative experience. Dr. Wolbaum is always very courteous, thorough, and timely. He seems happy to answer any questions that arise and takes the time to explain procedures and findings in a clear and detailed manner. His team operates in much the same way... I appreciate their honest practices, genuine care, and commitment to each person.

View on Google
1

Kelly Farr

2022

Google logo

The staff is friendly and helpful. Welcoming. Dr Wolbaum takes the time to listen to you and he always asks how you are doing. He doesn’t tell you something is wrong when there’s not, cavities for example. Honest. It is clean and well maintained. I have sent family and friends here.

View on Google

Designing Your Dream Smile

A "perfect smile" looks different to everyone. While some patients wish to improve a single distracting tooth, others desire extensive modifications to several highly visible front teeth. Dental veneers are a great option because they can be customized for your needs. Depending on your goals, they can be used for subtle corrections or dramatic cosmetic enhancement. During your consultation we can discuss the different possibilities and develop a personalized treatment plan to achieve the best results.

dr. wolbaum and patient

Am I a Good Candidate for Veneers?

While veneers work well for most of our Aurora patients, there are some factors that can affect your candidacy:

Oral Health

Cosmetic dentistry is intended for patients with healthy teeth and gums. If you have tooth decay, periodontal disease , or other dental conditions, you will first need restorative treatment to improve the foundation of your smile.

Bruxism

Bruxism, a condition characterized by the grinding and clenching of the teeth, can lead to excessive wear on veneer shells. If you suffer from bruxism, we might recommend dental crowns instead of veneers to better protect your tooth structure.

Commitment

It is important to understand that veneers will permanently alter your teeth. While they can often last for a decade or more, they will eventually need replacement. If you are not ready to make a long-term commitment, consider a more temporary treatment alternative like bonding or teeth whitening .

How Are Porcelain Veneers Placed? A Treatment Timeline

"Dr. Wolbaum and his staff are caring, efficient, and professional." - Google Review by Alijah Smith
"Dr. Wolbaum and his staff are caring, efficient, and professional." - Google Review by Alijah Smith

Consultation

If you are curious about upgrading your smile through cosmetic dentistry, request a consultation at Pioneer Hills Dental in Aurora, CO. Dr. Wolbaum will examine your teeth and determine your candidacy for porcelain veneers.

Impressions

If you are a good candidate for dental veneers and decide to move forward with this treatment, Dr. Wolbaum will make an impression of your natural teeth so he can design the shape of your custom-made veneer.

Veneer Creation

Our practice uses a local dental laboratory for the creation of our restorations. Dr. Wolbaum will send the model of your teeth and his design for your dental veneer to the lab so they can create the porcelain restoration. This usually takes about two weeks.

Tooth Preparation

Once we receive your porcelain veneer from the lab, you can return to our office in Aurora, CO , for the placement of your veneer. The first step of the procedure is to prepare the tooth by removing a very thin layer of enamel from the tooth surface. Removing enamel helps the shell lay flush with surrounding teeth and avoid looking bulky.

Veneer Placement

Once your tooth is prepared, Dr. Wolbaum will precisely attach your porcelain veneer using dental cement. He will use a special light to harden the adhesive.

Follow-Up

Approximately one week after the placement of your veneers, you’ll return to our office for treatment evaluation. This visit is crucial because it allows us to evaluate the placement of the restorations, assess the gum tissue response, and answer any questions you might have regarding your new smile.

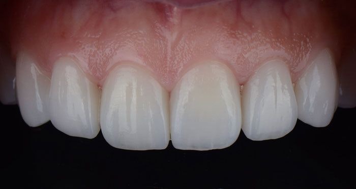
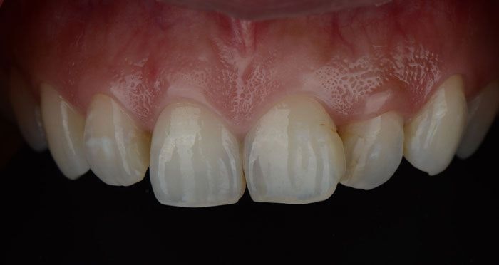
The Results Are Incredible

Veneers can dramatically improve your smile while still looking natural. Don't be surprised if the results make you feel more attractive and confident!
before veneers
Before Veneers
after veneers
After Veneers
We're passionate about helping you achieve and maintain a beautiful smile and optimal oral health. Dr. Wolbaum and our friendly dental team treat every patient like a member of their own family.

Ready for an Upgrade? Contact Our Aurora, CO, Dentistry Practice Today

No matter your aesthetic concerns, Dr. Wolbaum has the solution you need to correct them. Whether you need a single veneer to conceal a tooth or a personalized smile makeover plan to completely overhaul the appearance of your smile, we can work according to your needs and goals to produce the results you desire.

To get started, we invite you to reach out to our Aurora office :

(303) 766-8811

Why Choose Us for Cosmetic Dentistry? "I always feel taken care of."

1

Kaycee Tormoen

2022

Google logo

I love Pioneer Hills! I’ve been coming here for years. Even though we moved quite a distance away, I still come here because I always feel taken care of. Highly recommend!

View on Google
1

Taco The Paco

2022

Google logo

Just started at Pioneer Hills Dental and they are super friendly!! They are super thorough as well as being gentle. Highly recommend if you want a superb dentist

View on Google

Not a Candidate for Cosmetic Dentistry? Dr. Wolbaum Can Help

Veneers and other cosmetic dentistry solutions require a healthy foundation. If you are suffering from gum disease, tooth damage, decay, or severe dental misalignment, you will have to address these concerns first. Dr. Wolbaum can provide you with the restorative procedures necessary to protect your oral health, improve the structure of your teeth, and reinstate your candidacy for cosmetic treatment.

Paying for Cosmetic Dentistry

While other forms of dentistry are covered by insurance, cosmetic dentistry is not. This is because cosmetic dentistry simply improves the appearance of your smile, not its health or structural integrity. Our Aurora office wants everyone to experience the benefits of a beautiful smile, so we do everything we can to make cosmetic dentistry solutions like veneers accessible and affordable.

Our office is proud to work with CareCredit® , a third-party lender that allows patients who qualify to split the cost of their dental treatment into affordable monthly installments.

Pioneer Hills Dental

Pioneer Hills Dental is a comprehensive practice where patients of all ages can receive advanced dentistry in a state-of-the-art setting. Our dentist, Dr. Terrance Wolbaum , is an active member of many prestigious dental organizations, including:

  • American Dental Association
  • Colorado Dental Association
  • International Congress of Oral Implantologists
  • Metropolitan Denver Dental Society
  • New Dentist Committee
  • Misch Fellowship
  • Dawson Academy

To make dentistry more affordable for families, Dr. Wolbaum proudly accepts most dental insurance plans and financing through CareCredit® . To book your appointment, request a consultation online or call our practice at (303) 766-8811 .

Contact Us Today

Rate, Review & Explore